info@facialaestheticcentre.com

Muttada Jn, Trivandrum

Mon – Fri : 8:00 AM – 7:00 PM

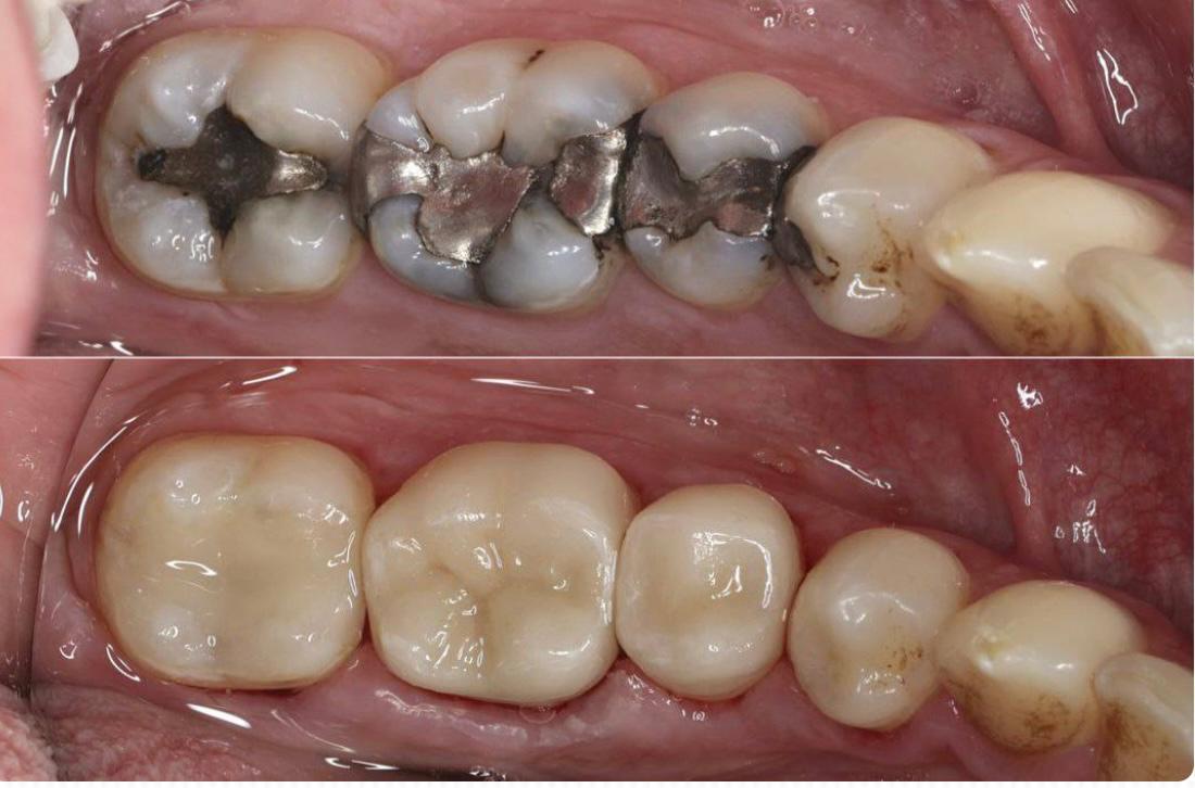
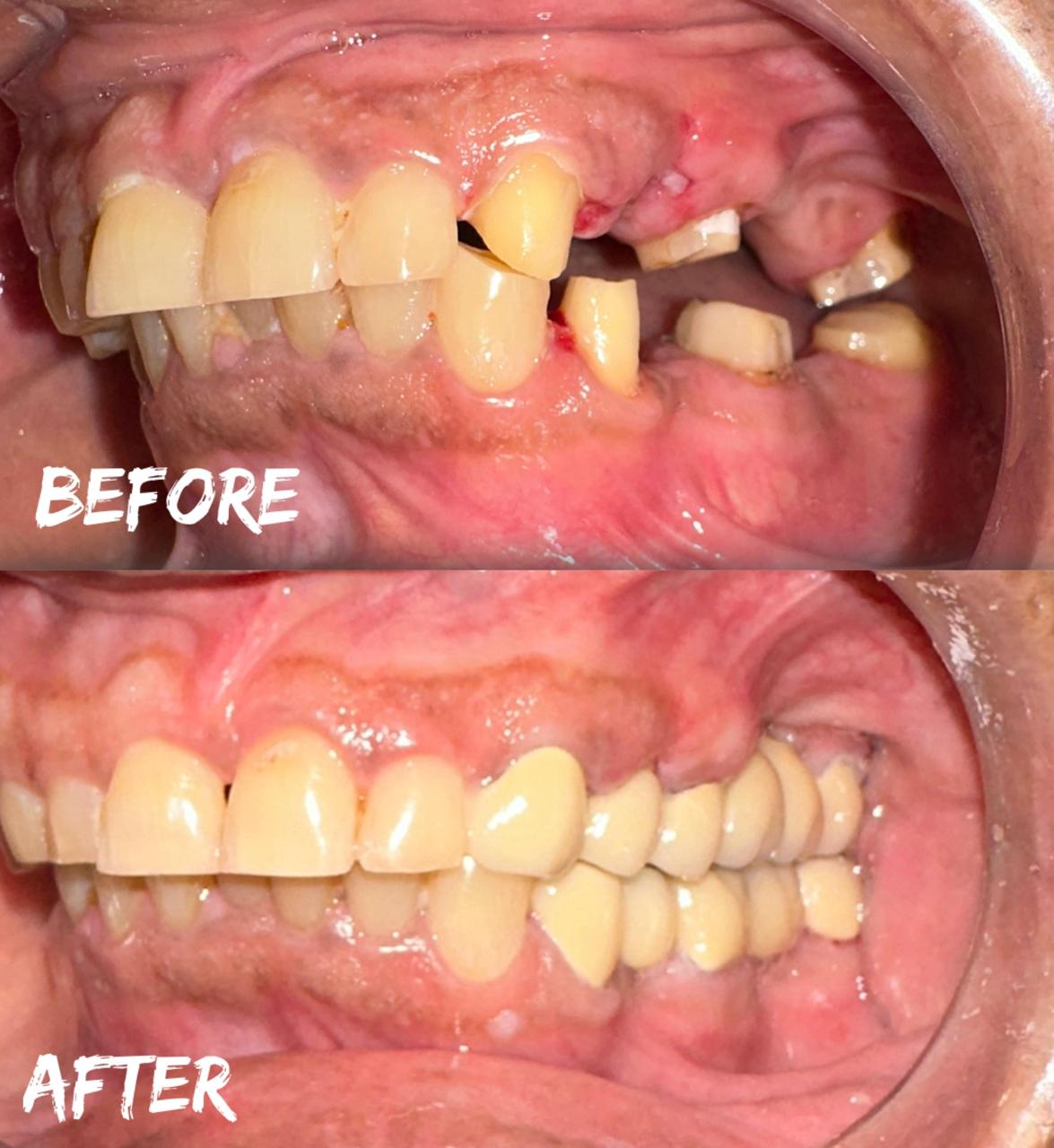
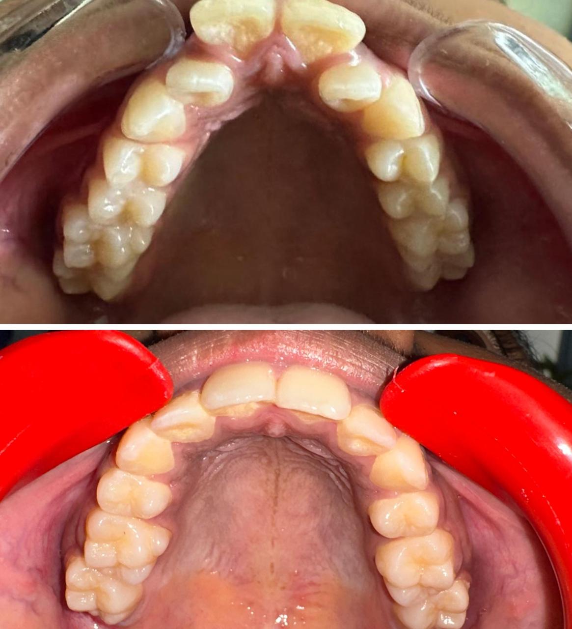
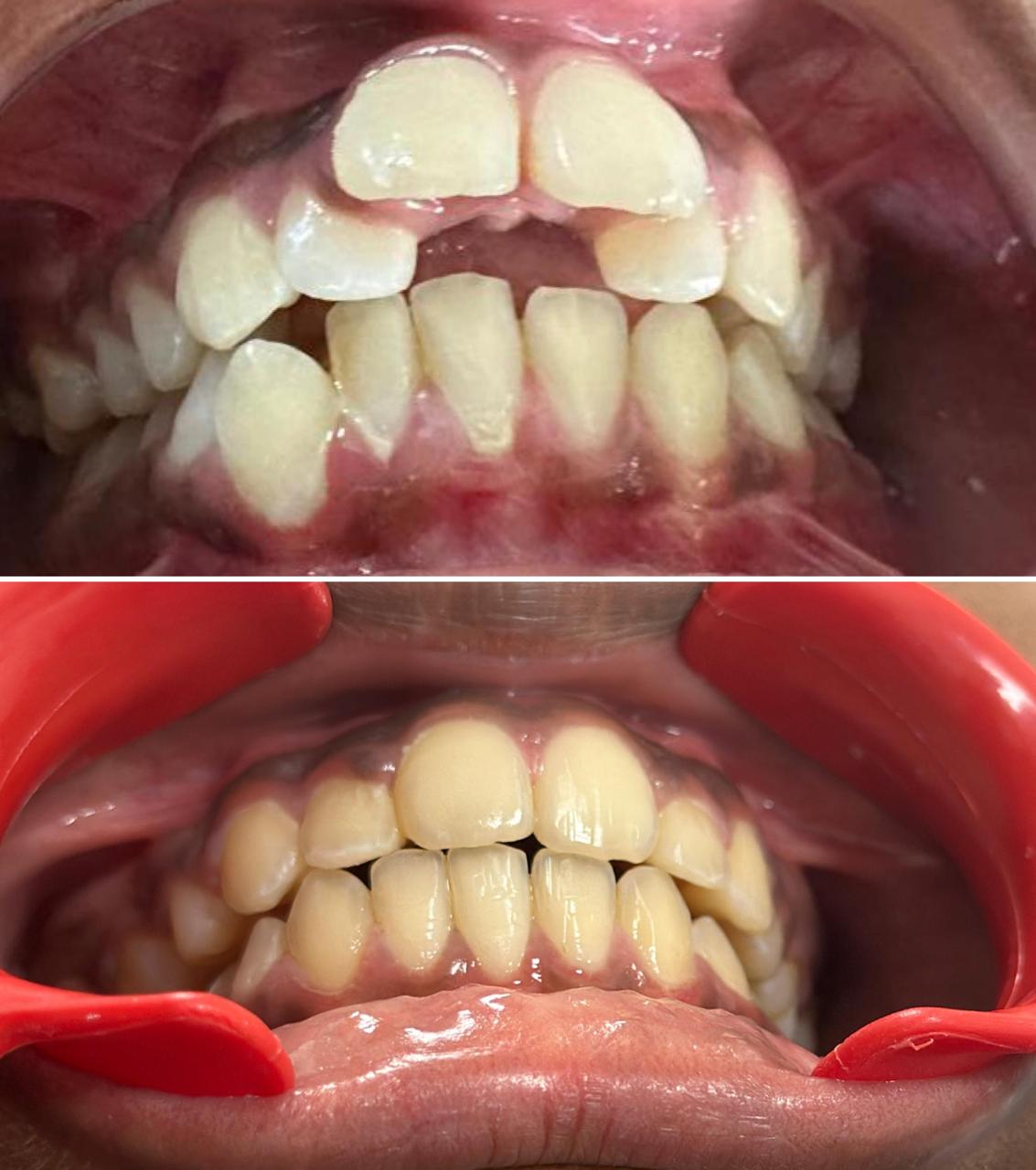
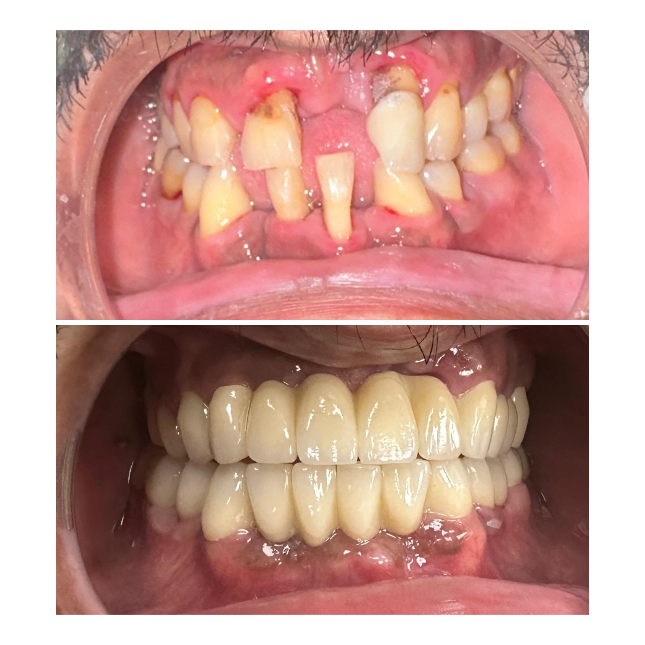
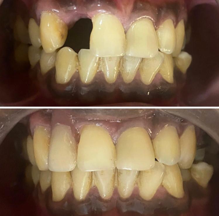
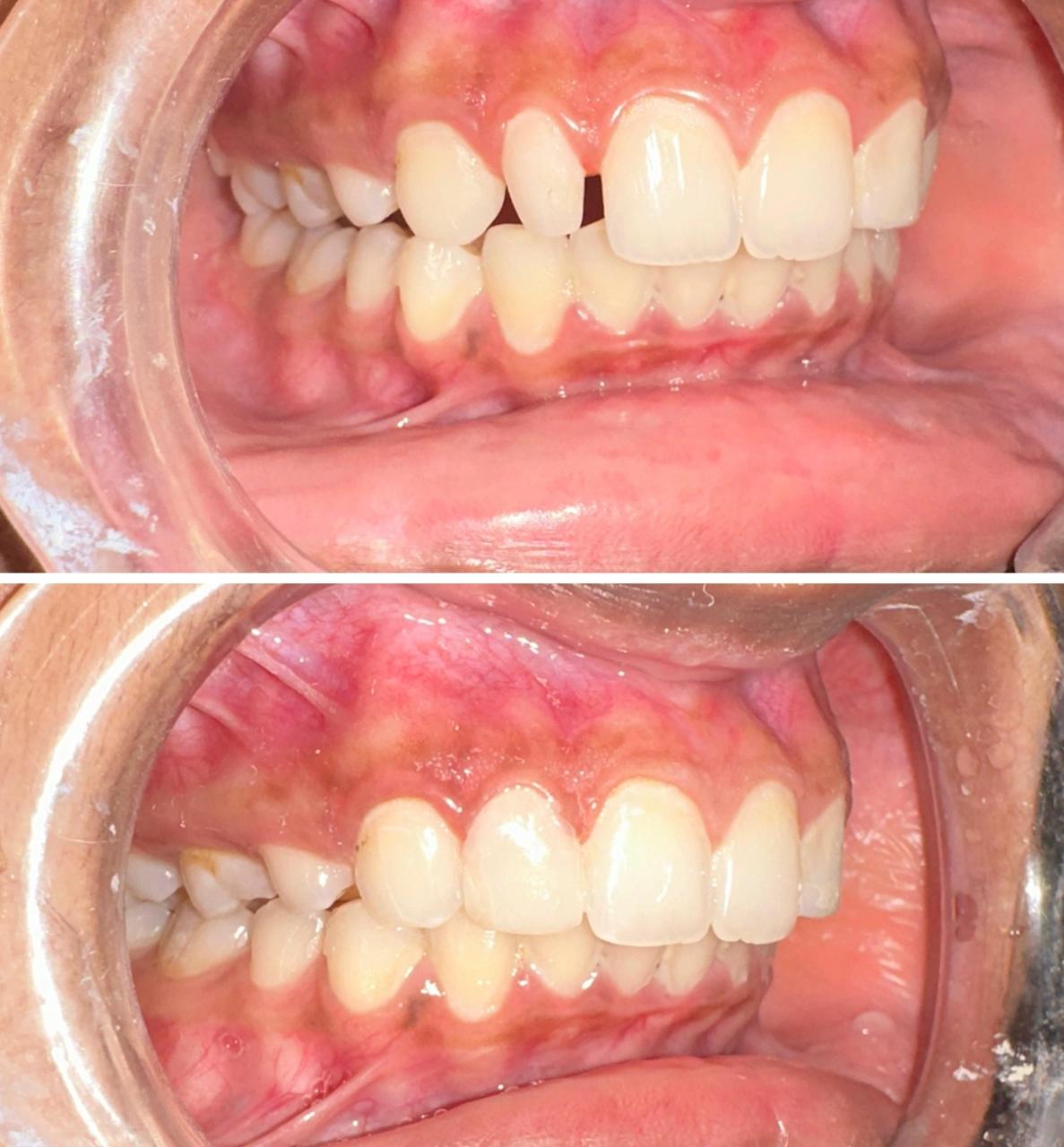
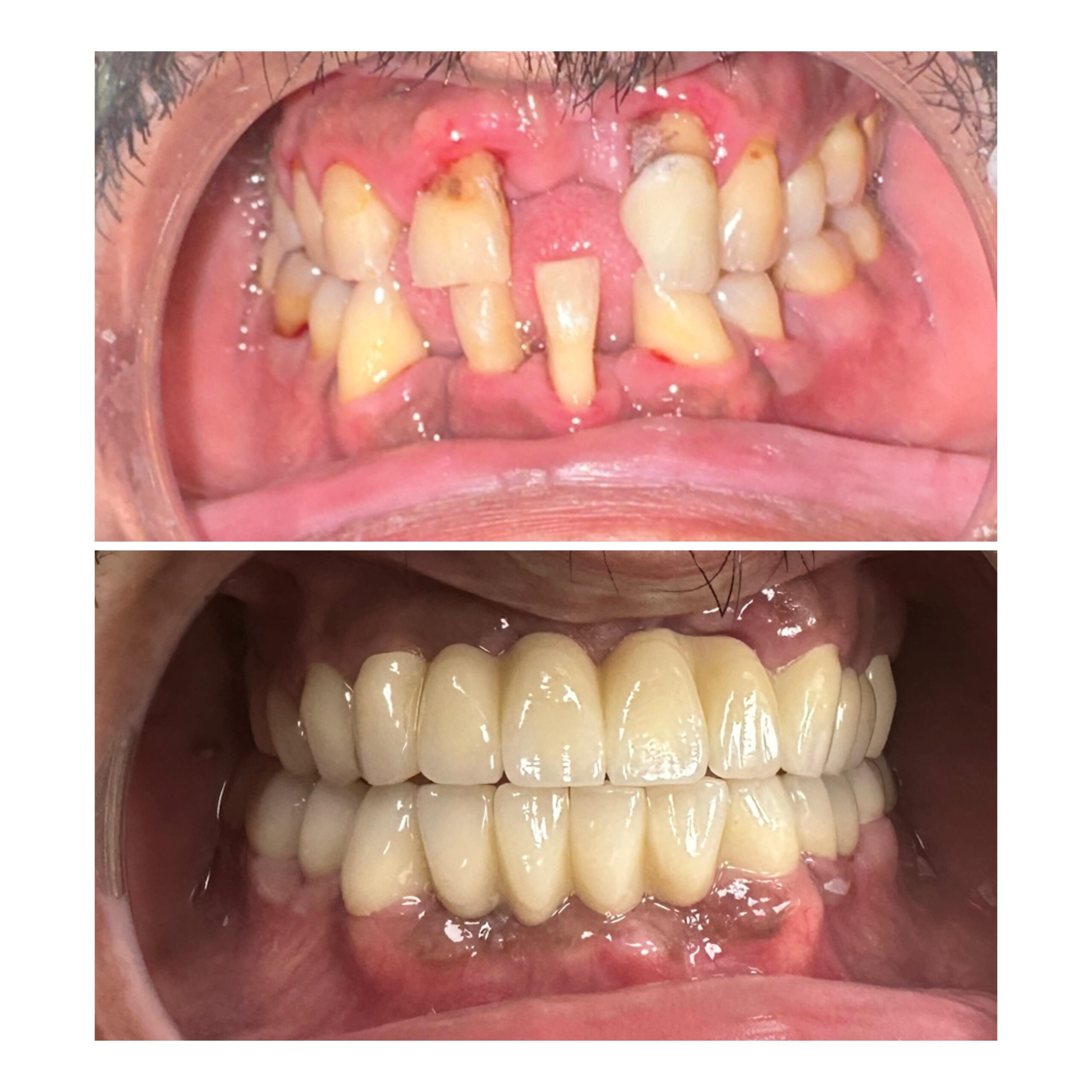
Gallery

Home5Gallery